สวัสดีค่ะทุกคน วันนี้ฝ้ายจะมาแชร์ประสบการณ์การจัดฟันใสที่ DCA Dental Clinic รีวิวเเบรนด์จัดฟันใสที่มีคลินิกเป็นของตัวเอง เเละมีสาขาใน 10 ประเทศทั่วโลก อย่าง Dr Clear Aligners รีวิวนี้ฝ้ายอยากแชร์ให้ฟังมากกกก หลังจากที่ลังเลมานานว่าจะเลือกจัดฟันใสที่ไหนดี เพราะเป็นคนที่มี ฟันซ้อน ฟันเก ซึ่งทำให้รู้สึกไม่มั่นใจเวลายิ้มหรือถ่ายรูป รวมถึงการเคี้ยวอาหารก็มีปัญหาบ้าง โชคดีที่ได้ลองทำรีเสิร์ชแล้วพบว่าเเบรนด์ Dr Clear Aligners เป็นหนึ่งในตัวเลือกที่น่าสนใจ เพราะให้ผลลัพธ์ไว ใช้ชีวิตสะดวก และที่สำคัญคือ ราคาจับต้องได้ แบบไม่ต้องจ่ายก้อนใหญ่ตั้งแต่แรก! เลยตัดสินใจลองจัดฟันใสกับที่นี่ มาดูกันว่าประสบการณ์จะเป็นยังไงบ้าง~
@drclearalignersth เคลื่อนฟันอย่างนุ่มนวลเหมาะกับทุกไลฟ์สไตล์ บอกว่ามาจาก TikTok ได้ส่วนลดเพิ่มด้วยนะ ตามไปกดลิงก์ที่ Bio เลย
♬ original sound – Dr Clear Aligners Thailand – Dr Clear Aligners Thailand
Dr Clear Aligners กับ DCA Dental Clinic คืออะไร? ทำไมฝ้ายถึงเลือกจัดฟันใสที่นี่
DCA เป็นชื่อย่อของ Dr Clear Aligners เเบรนด์จัดฟันใสระดับโลกเเบรนด์เดียวที่มีคลินิกเป็นของตัวเองภายใต้ชื่อ DCA Dental Clinic ในฐานะผู้นำนวัตกรรมจัดฟันแบบใสที่ถูกออกแบบมาเพื่อช่วยให้ฟันของเราจัดเรียงสวยโดยที่แทบไม่มีใครสังเกตเห็น จัดเหมือนไม่ได้จัด! เป็นตัวเลือกที่ตอบโจทย์คนที่ต้องการปรับรูปฟันแบบรวดเร็ว ไม่ต้องติดเครื่องมือถาวร และยังสามารถถอดได้เมื่อต้องการทานอาหารหรือแปรงฟัน
ข้อดีของ Dr Clear Aligners
- มองไม่เห็น วัสดุใสพิเศษ ทำให้ยิ้มได้มั่นใจโดยไม่มีใครสังเกต
- เห็นผลเร็ว เคสง่าย-ปานกลาง ใช้เวลาเพียง 3-6 เดือน
- ใช้ชีวิตสะดวก ถอดออกได้เมื่อต้องการ ไม่ต้องกังวลเรื่องเศษอาหารติดฟัน
- แก้ปัญหาฟันซ้อน ฟันห่าง ฟันล้ม ฟันเก ได้อย่างมีประสิทธิภาพ
- ค่าใช้จ่ายจับต้องได้ Dr Clear Aligners เป็นเเบรนด์จัดฟันใสราคาย่อมเยาว์ ผ่อนจ่ายได้ ซึ่งราคาเริ่มต้นอยู่ที่ 29,500 บาทเท่านั้นค่ะ
และที่สำคัญที่ฝ้ายเลือกจัดฟันใสที่ DCA Dental Clinic เพราะว่าโลเคชั่นดีมากค่ะ คลินิกตั้งอยู่ใจกลางทองหล่อ ที่ซอยสุขุมวิท 49 นี่เอง เดินทางสะดวกมาก เเถมยังมีอีกสาขาที่ Royal Garden Plaza พัทยา คลินิกทำฟันติดทะเล ซึ่งใครที่อยู่ไกลก็ไม่ต้องกังวลนะคะ เพราะเค้ามี Partner Clinics อยู่ทั่วประเทศ ใครใกล้ที่ไหนไปที่นั่นได้เลยค่ะ

สาขาที่ฝ้ายไปใช้บริการวันนี้คือ DCA Dental Clinic สุขุมวิท 49 เมื่อเดินมาถึงคลินิกจะเจอหน้าคลินิกเป็นสีน้ำเงินเข้มแบบนี้เลยค่ะ สังเกตได้ง่าย ๆ


เมื่อเข้าไปข้างในคลินิก ความประทับใจแรกของฝ้ายก็คือ คลินิกสะอาดเป็นระเบียบเรียบร้อยมากทุกคน พี่ ๆ พนักงานต้อนรับก็น่ารักมาก ให้ข้อมูลฝ้ายได้ทุกอย่างเลย ก็คือที่ DCA Dental Clinic ให้บริการทางทันตกรรมได้อย่างครอบคลุมเลยค่ะ ทั้งการตรวจสุขภาพช่องปากทั่วไป ถอนฟัน อุดฟัน รักษารากฟัน ขูดหินปูน ฟันปลอม ไปจนถึงการจัดฟันใสที่ฝ้ายจะมารีวิวให้ฟังในวันนี้!

ขั้นตอนการจัดฟันใสกับ Dr Clear Aligners ที่ DCA Dental Clinic
1. ปรึกษาและตรวจประเมินฟัน
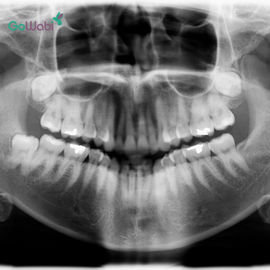
ฝ้ายเริ่มจากการจองคิวเข้าปรึกษากับ DCA Dental Clinic สาขาสุขุมวิท 49 คุณหมอจะทำการตรวจเช็กฟันของเราอย่างละเอียด ว่าปัญหาฟันของเราสามารถแก้ไขด้วย Dr Clear Aligners ได้หรือไม่ ซึ่งปัญหาที่ฝ้ายเป็นกังวลก็คือ ฟันซ้อน ฟันเก ค่ะ


หลังจากนั้นก็ทำการสแกนฟันแบบ 3D เพื่อดูโครงสร้างฟันของเราผ่านคอมพิวเตอร์ และทำแผนการรักษาให้เห็นล่วงหน้าว่าฟันของเราจะค่อย ๆ ขยับไปตำแหน่งไหนบ้าง


2. รับชุดอุปกรณ์จัดฟันใส
หลังจากวางแผนเสร็จ ใช้เวลาประมาณ 2-3 สัปดาห์ Aligners ของเราก็พร้อมแล้ว! ฝ้ายได้รับชุด Aligners ทั้งหมดที่ต้องใช้ ตลอดการรักษาที่ DCA Dental Clinic ฝ้ายได้รับการดูแลโดยตรงจากทีมทันตแพทย์ ผ่านแอปพลิเคชัน ซึ่งสะดวกสบายมากค่ะ ทำให้ฝ้ายไม่ต้องเสียเวลาและค่าเดินทางในการไปหาคุณหมอบ่อย ๆ

3. เริ่มใส่ Aligners และติดตามผล
พอได้รับชุดจัดฟันแล้วก็เริ่มใส่ได้เลย! คุณหมอแนะนำให้ใส่วันละ 20-22 ชั่วโมง และถอดออกได้เฉพาะเวลาทานอาหารหรือแปรงฟัน ตอนแรกอาจจะรู้สึกตึง ๆ เล็กน้อยแค่ 3 วันแรก หลังจากนั้นก็สบาย
4. เห็นความเปลี่ยนแปลงตั้งแต่เดือนแรก!
ที่ชอบมาก ๆ คือเราเริ่มเห็นฟันขยับตั้งแต่ เดือนแรก ฟันเริ่มเรียงตัวเป็นระเบียบขึ้น เวลาพูดมั่นใจขึ้นเพราะฟันเราสวยขึ้น ถ่ายรูปไม่ต้องกังวล 🎉
เปรียบเทียบผลลัพธ์ก่อน-หลังการจัดฟันใส Dr Clear Aligners ที่ DCA Dental Clinic
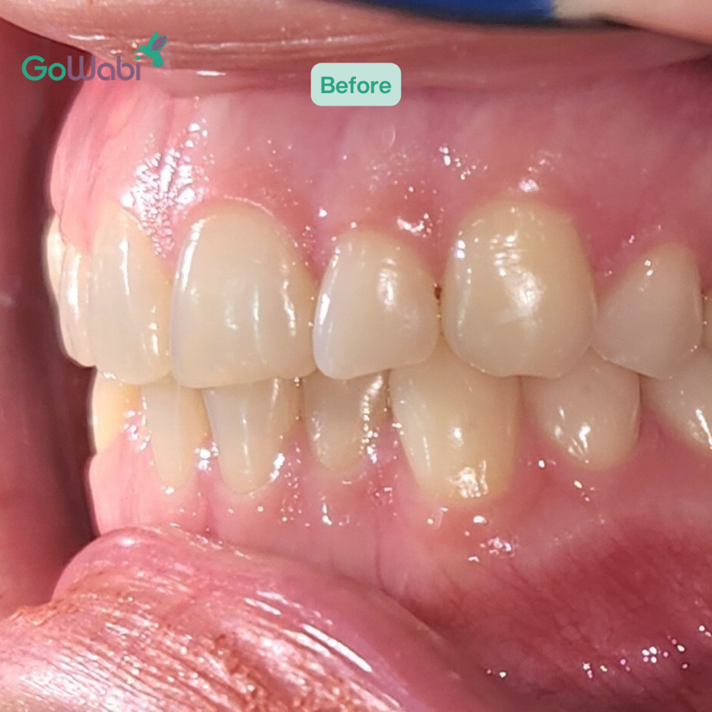
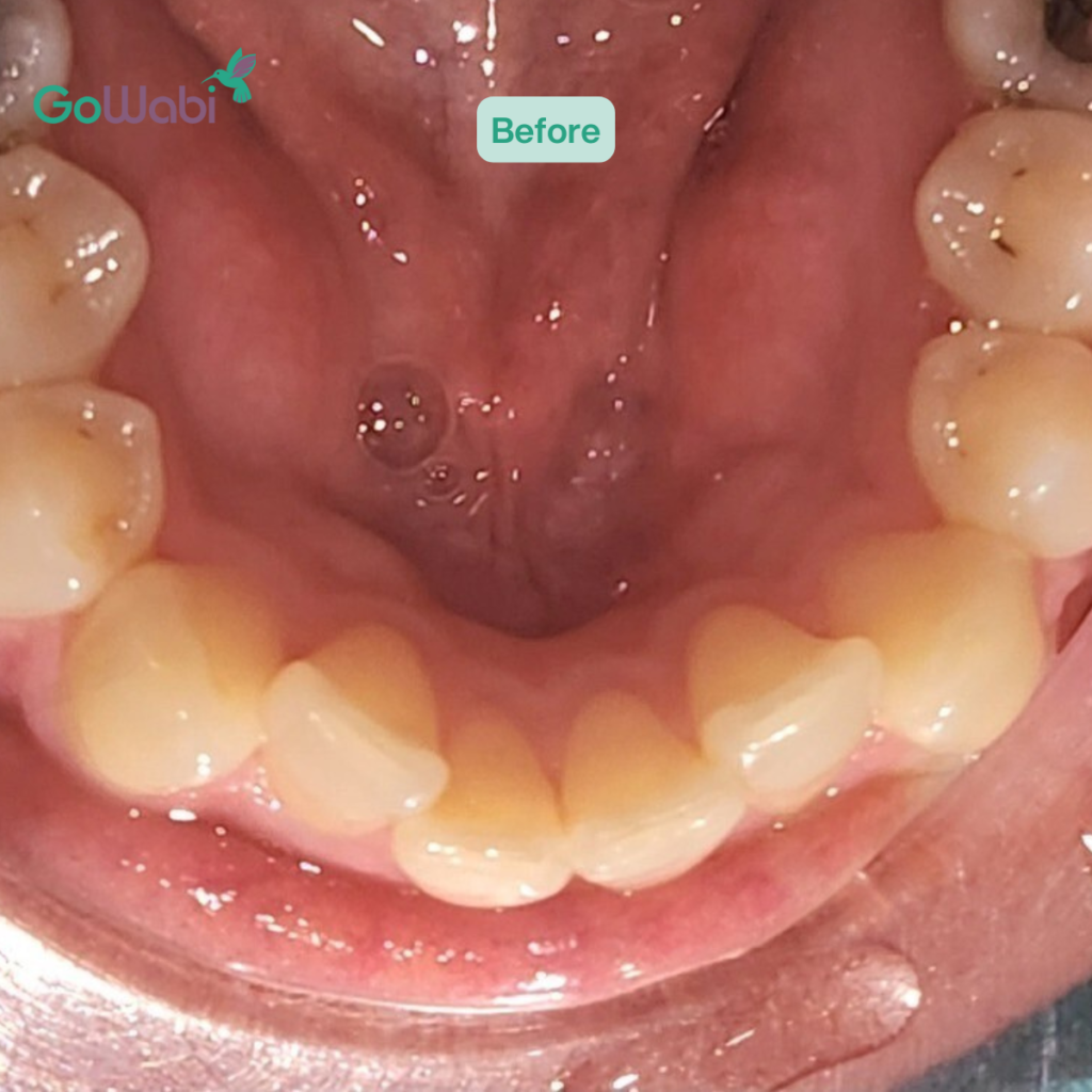
ก่อนทำ
- ฟันซ้อนเก บางซี่หมุนผิดทิศทาง
- ยิ้มแล้วไม่มั่นใจ รู้สึกว่าฟันไม่สวย
หลังทำ 1 เดือน
- ฟันเริ่มเรียงตัวสวยขึ้นอย่างเห็นได้ชัด
- มั่นใจในการยิ้มมากขึ้น
- การสบฟันดีขึ้น ไม่รู้สึกเหมือนฟันเกเหมือนก่อน




หลังทำ 3 เดือน
- ฟันเรียงตัวสวยเป็นธรรมชาติ
- ไม่มีฟันซ้อนอีกต่อไป
- ยิ้ม หัวเราะ พูดคุยอย่างมั่นใจ ไม่มีใครสังเกตว่าเคยจัดฟันมาก่อน!

การดูแลตัวเองระหว่างจัดฟันใส
เพื่อให้ผลลัพธ์เป็นไปตามอย่างที่เราต้องการ คุณหมอแนะนำฝ้ายว่าควรปฏิบัติตัวและดูแลอุปกรณ์จัดฟันใสดังนี้ค่ะ
- ใส่อุปกรณ์จัดฟันใส อย่างน้อย 20-22 ชั่วโมงต่อวัน
- ถอดออกเมื่อต้องรับประทานอาหาร และแปรงฟันให้สะอาดก่อนใส่กลับเข้าไป
- ห้ามดื่มเครื่องดื่มที่มีสีขณะใส่อุปกรณ์จัดฟันใส เพื่อป้องกันคราบสะสม
- หมั่นทำความสะอาดอุปกรณ์จัดฟันใสทุกวัน เพื่อให้ใสสะอาดอยู่เสมอ
- หากรู้สึกว่าอุปกรณ์จัดฟันใสแน่นหรือไม่พอดี ควรแจ้งคลินิกทันที
ชี้เป้า! อยากจัดฟันใสที่ DCA Dental Clinic เดินไปทางยังไง?
อ่าน DCA Dental Clinic รีวิวนี้แล้วสนใจอยากจัดฟันใสที่นี่ สามารถเดินทางมาได้ไม่ยากเลยค่ะ คลินิกตั้งอยู่พิกัดตามนี้เลย
📍 ที่ตั้ง: 21/1 ซอยสุขุมวิท 49
🚆 BTS พร้อมพงษ์ หรือ BTS ทองหล่อ เดินทางสะดวก ลงสถานีแล้วต่อรถเข้าไปไม่เกิน 10 นาที 🚗 รถส่วนตัว: ปักหมุด Dr Clear Aligners Dental Clinic ใน Google Maps ได้เลย มีที่จอดรถรองรับ
DCA Dental Clinic รีวิวความประทับใจส่วนตัว
หลังจากที่ได้ลองจัดฟันใสกับ Dr Clear Aligners ที่ DCA Dental Clinic ฝ้ายรู้สึกว่ามันเป็น การลงทุนเพื่อรอยยิ้มที่คุ้มค่ามาก จัดฟันใสให้ผลลัพธ์ที่ชัดเจน จัดฟันใสราคาเข้าถึงได้ เห็นความแตกต่างตั้งแต่ 3 sets เเรก และสามารถใช้ชีวิตได้ตามปกติแบบที่ไม่มีใครสังเกตเลยว่ากำลังจัดฟันอยู่ ถ้าใครกำลังลังเลว่าจะจัดฟันใสดีไหม หรือกำลังมองหาคลินิกจัดฟันใสราคาไม่แพง DCA Dental Clinic เป็นอีกหนึ่งตัวเลือกที่ตอบโจทย์แน่นอนค่ะ รีวิวนี้ฝ้ายให้ 10/10 ไปเลยค่าา ✨
